타액선 조영술
[Sialography]
타액선(침샘)에 조영제를 주입하여 타액선 도관의 구조와 타액선 실질 조직을 관찰할 수 있는 촬영술이다.
신체기관
머리, 목, 타액선
정의
타액선 조영술은 이하선(귀밑샘)이나 악하선(턱밑샘)의 도관을 통하여 요오드가 함유된 조영제를 주입하여 도관계와 침샘의 실질조직을 관찰할 수 있는 촬영법이다. 주도관이 여러 개면서 일정하지 않은 설하선(혀밑샘)은 타액선 조영술을 시행할 수 없으나, 악하선의 타액선 조영술 시 주입된 조영제가 우연히 들어가는 경우가 있다. 최근에는 초음파 검사, CT, MRI 등이 타액선 실질조직의 병소 진단에 많이 이용되고 있으나, 타액선 조영술이 도관계를 가장 정확하게 나타내준다. 타액선조영상에서는 도관계의 분포 양상, 도관 직경의 변화, 선포나 실질 조직으로의 조영제 유입 여부 등을 관찰할 수 있다. 타액선 조영술은 비교적 간단하고 짧은 시간에 행해질 수 있지만 사전에 환자의 임상검사를 위한 충분한 시간이 필요하다. 요오드화합물에 과민반응을 보이는 환자, 타액선의 급성 염증기 및 갑상선기능검사를 받는 환자에게는 적합하지 않다.
종류
1. 이하선 조영술(Parotid gland Sialography) 2. 악하선 조영술(Submandibular gland Sialography)
검사주기
질환의 가능성이 있을 시에만 검사
준비사항
촬영 전에 구강을 청결히 하며, 조영제에 대한 과민반응 검사 및 기왕력을 확인한다.
검사방법
1. 타액선 내에 조영제를 주입하기 위해 개구공의 위치를 파악한다 - 이하선 조영술(Parotid gland Sialography) : 뺨 안쪽에 개구부 위치. - 악하선 조영술(Submandibular gland Sialography) : 혀 하방에 개구부 위치 2. 개구공 확인 후 탐침으로 도관을 찾는다. 3. 개구공이 적절한 크기로 확장되면, 타액선 조영술용 카뉼라(cannula)를 도관 내에 삽입한다 4. 카뉼라를 통해 조영제를 서서히 주입 5. 주입된 조영제를 검사하기 위하여 파노라마 촬영(Panoramic radiography)과 전후방향 촬영(A-P projection) 및 하악지촬영(Mandibular ramus projection)을 시행한다. 6. 일정 시간이 지난 후 파노라마 촬영을 실시하여 조영제가 타액선 내에 남아 있지는 않는지 확인한다.
소요시간
1시간 내외 소요
주의사항
침샘이 급성으로 부었거나 통증이 있는 경우에는 본 검사를 시행할 수 없으며, 조영제에 대한 과민반응의 기왕력 확인이 필요하다.
결과
방사선 사진을 찍은 직후 전문가의 판독을 통해 결과를 바로 확인 할 수 있다. 타액선조양상에서 도관계의 변위나 단절 등의 간접적인 소견으로 종괴 유무를 알 수 있으나 그 크기가 1cm 이상이 되어야 관찰이 가능하며, 타액선 내 종괴와 타액선 외 종괴의 구별이나 양성과 악성의 구별이 어려운 경우가 많아 종괴가 의심될 경우에는 초음파검사, CT, MRI 등의 추가검사를 시행한다.

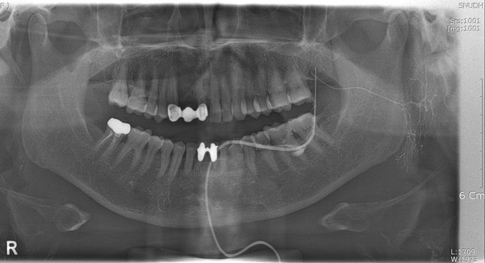
이하선조영술 영상 (예시)
부작용/후유증
감염과 도관파열 및 조영제 도관 외 유출 등
진단질병
타액선의 만성 염증성 질환, 타액선염, 쇼그렌증후군, 타석증이나 도관 협착 같은 폐쇄성 질환, 타액선증 등
관련검사법
교합 방사선촬영술, 타액선 스캔, 전산화단층촬영술, 자기공명영상, 초음파촬영술, 방사선핵종을 이용한 타액선 검사