락트-인 증후군
[locked-in syndrome]
정의
락트-인 증후군(감금증후군)은 의식은 있지만 전신마비로 인하여 외부자극에 반응하지 못하는 상태이다. 환자가 자발적인 움직임을 보이지 않고 말을 하지 않기 때문에 외관상 혼수상태로 잘못 판단할 수 있지만, 혼수상태와 달리 락트-인 증후군에서는 각성이 유지되어 있고 단지 운동기능만 차단되어 있다. 뇌간(숨뇌, 뇌줄기)은 척수와 대뇌 사이에 위치하고 있어 뇌에서 나오는 운동신경을 척수로 이어주는 역할을 한다. 운동신경은 뇌간 중 다리뇌(교뇌)에서 가장 앞쪽을 지나가는데, 이 부분에서 양쪽 운동신경이 모두 손상을 받으면 얼굴을 포함하여 팔다리를 움직이지 못하게 된다. 그러나 이 경우 중간뇌(중뇌)는 손상되지 않았기 때문에 눈을 뜨거나 수직 방향으로 안구를 움직이는 것은 가능하다. 따라서 일부 환자들은 눈을 뜨고 감는 방법으로 다른 사람과 의사소통을 했다는 보고가 있다. 또한 락트-인 증후군 환자는 각성에 관여하는 기관 및 감각신경은 정상이기 때문에 신체감각 및 청각 자극이 대뇌로 전달될 수 있다.

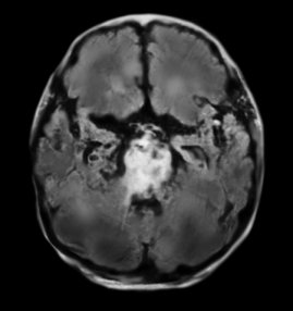
감금증후군 뇌 MRI: 교뇌를 전반적으로 침범한 뇌경색
원인
원인으로는 허혈성 뇌경색, 길리안-바레 증후군(급성염증성탈수초성 다발성말초신경염증), 중심다리뇌 수초용해(central pontine myelinolysis)가 있다.
치료
락트-인 증후군의 초기 치료는 기도 확보와 적절한 산소 공급에 초점이 맞추어져 있으며, 락트-인 증후군의 원인을 원인이 혈관에 의한 것이라면 즉 발병 후 48시간 이내 신속히 확인하고 조기에 치료해야 한다. 추골동맥이나 뇌저동맥의 색전이나 혈전에 의한 것이라면 가능한 빨리 재관류를 시키는 치료를 해야 한다.
경과/합병증
락트-인 증후군 생존자들의 대부분은 만성적으로 심각한 장애로 남아있게 된다. 그러나 시간이 경과한후 소실되었던 운동기능이 회복되기도 한다. 이러한 기능 회복이 기대되는 환자에게는 발병후 1달 이내에 물리치료, 발성 및 호흡치료를 포함한 재활 치료가 시작되어야 한다. 보존적인 치료로 감염이나 전해질 불균형 등을 확인하고 치료하는 것 뿐만 아니라, 부동자세에 의한 욕창 근육이나 관절의 구축 그리고 각막의 찰과상 등을 예방하는 것이 필요하다.
예방방법
락트-인 증후군의 특별한 예방방법은 없다.