족저근막염
[plantar fasciitis]
정의
족저근막은 종골(calcaneus)이라 불리는 발뒤꿈치뼈에서 시작하여 발바닥 앞쪽으로 5개의 가지를 내어 발가락 기저 부위에 붙은 두껍고 강한 섬유띠를 말한다. 발의 아치를 유지하고 발에 전해지는 충격을 흡수하며 체중이 실린 상태에서 발을 들어 올리는 데 도움을 주어 보행시 발의 역학에 중요한 역할을 한다. 이러한 족저근막이 반복적인 미세 손상을 입어 근막을 구성하는 콜라겐의 변성이 유발되고 염증이 발생한 것을 족저근막염이라 한다. 성인의 발뒤꿈치 통증의 대표적 원인 질환으로 알려져 있다.

족저근막염 발생 부위
원인
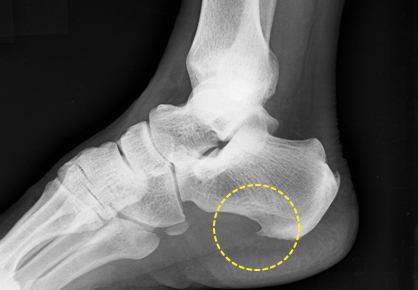
구조적으로 발바닥의 아치가 정상보다 낮아 흔히 평발로 불리는 편평족이나, 아치가 정상보다 높은 요족(cavus) 변형이 있는 경우 족저근막염이 발생할 가능성이 높다. 또한 다리 길이의 차이, 발의 과도한 회내(발뒤꿈치의 바깥쪽 회전과 발목의 안쪽 회전의 복합 운동) 변형, 하퇴부 근육의 구축 또는 약화 등이 있는 경우에도 족저근막염을 유발할 수 있다. 족저근막의 발뒤꿈치뼈 부착 부위에 뼈조각이 튀어나온 사람들 중 일부에서 족저근막염이 발생하기도 한다. 그러나 이와 같은 해부학적 이상이 원인이 되는 경우보다는 발의 무리한 사용이 원인이 되어 발생하는 빈도가 훨씬 높다. 즉 평소 운동을 하지 않던 사람이 갑자기 많은 양의 운동을 하거나, 장거리의 마라톤 또는 조깅을 한 경우, 바닥이 딱딱한 장소에서 발바닥에 충격을 줄 수 있는 운동(배구, 에어로빅 등)을 한 경우, 과체중, 장시간 서 있기, 너무 딱딱하거나 쿠션이 없는 구두의 사용, 하이힐의 착용 등 족저근막에 비정상적인 부하가 가해지는 조건에서 염증이 발생하는 경우가 흔하다. 그 밖에 당뇨, 관절염 환자에서 동반되는 경우가 있다.

족저근막염 X선 영상: 발뒤꿈치뼈에 뼈조각이 자라남
증상
전형적인 증상은 아침에 일어나 첫 발을 내디딜 때 느껴지는 심한 통증이 특징적이지만, 모두 같은 증상을 겪는 것은 아니다. 통증은 주로 발뒤꿈치 안쪽에 발생하는 경우가 대부분이고 발뒤꿈치뼈 전내측 종골 결절 부위를 누르면 통증이 발생하기도 한다. 발가락을 발등 쪽으로 구부리면 통증이 심해지기도 한다. 주로 가만히 있을 때는 통증이 없다가 움직이기 시작하면 통증이 발생하고 일정 시간 움직이면 통증이 다시 줄어드는 양상이 많다. 진행된 족저근막염의 경우에는 서 있을 때 뻣뻣한 느낌이 지속되고 하루 일과가 끝나는 시간이 가까울수록 통증의 정도도 심해지는 경우가 있다.
진단/검사
신체 검진을 통한 증상의 확인이 주된 진단 방법이다. 발뒤꿈치뼈 전내측 종골 결절 부위의 명확한 압통점을 찾으면 진단이 가능하고, 족저근막의 방향을 따라 발바닥에 전반적인 통증을 보이는 것을 확인할 수도 있다. 발가락을 발등 쪽으로 구부리거나 환자가 발뒤꿈치를 들고 서 보게 하여 통증이 증가되는 것을 보는 것이 진단에 도움이 된다. 신체검진 외에 추가적인 검사가 반드시 필요한 경우는 흔치 않다. 그러나 증상이 전형적인 족저근막염의 양상이 아니거나 적절한 치료에도 증상 호전이 없는 경우 다른 질환과의 감별 진단을 위하여 필요에 따라 방사선 검사(X선 촬영, CT, MRI), 근전도 검사 등을 시행해야 하기도 한다.

발뒤꿈치 통증의 감별진단
치료
1. 보존적 치료 1) 원인 제거 및 교정: 보존적 치료의 첫 단계는 교정 가능한 원인이 있다면 이를 바로잡는 것이다. 잘못된 운동 방법, 무리한 운동량, 불편한 신발 착용 등을 교정하여 원인을 제거하도록 한다. 2) 스트레칭: 족저근막과 아킬레스건을 효과적으로 늘려주는 스트레칭 방법으로 앉은 자리에서 발을 반대쪽 무릎 위에 올려 놓고 아픈 발과 같은 쪽의 손으로 엄지발가락 부위를 감아 발등 쪽으로 올리면 발바닥의 근막과 아킬레스건의 단단하게 스트레칭되는 것을 느낄 수 있다. 이때 반대쪽 손가락으로 단단하게 스트레칭 된 족저근막을 마사지 해주면 더 효과를 볼 수도 있다. 감아 올리는 동작은 천천히 시행하며 한 번 스트레칭 시 15~20초간 유지하여야 하고, 한 번(한 세트)에 15차례 정도 스트레칭 운동을 한다. 하루에 10번(10세트) 이상 틈나는 대로 스트레칭 운동을 해주는 것이 좋으며, 특히 아침에 자고 일어났을 때나 오랫동안 앉아 있다가 걷기 시작하기 전에 미리 스트레칭 운동을 해주면 효과가 좋다. 3) 보조기: 뒤꿈치 컵(heel cup)이 가장 널리 사용된다. 딱딱한 플라스틱 제품은 뒤꿈치 연부조직을 감싸서 뒤꿈치에 가해지는 충격을 흡수하는 기전으로 사용되며, 고무제품은 연부 조직을 감싸면서 쿠션 역할도 하도록 한다. 부목이나 석고 고정을 발목 관절이 중립이거나 약간 발바닥 쪽으로 굽힌 상태에서 유지하는 방법도 간혹 사용된다. 그 밖에 맞춤 교정 안창의 효과에 대해서는 논란이 있는데, 아치가 정상보다 높은 요족(cavus) 변형이 있으며 중족골 통증이 동반된 경우에 사용하면 좋은 결과를 얻을 수 있다. 4) 비스테로이드성 소염 진통제: 부종이 동반된 급성기의 경우 효과가 있으나, 장기간 사용하는 것은 여러 부작용을 감안할 때 권장되지 않는다. 만성화된 경우 복용하는 소염제의 효과에 대해서는 논란이 있다. 5) 스테로이드 주사요법: 다른 보존적 치료를 충분히 사용한 후에도 증상 호전이 없을 때 고려한다. 반복 사용은 족저근막의 급성 파열 위험이 있고 뒤꿈치 지방 패드의 위축을 초래할 수 있다. 6) 체외 충격파 요법(ESWT, extracorporeal shock wave therapy): 확실한 효과에 대해서는 논란이 있으나 수술하지 않고 치료할 수 있는 방법 중 한 가지이기 때문에 점차 사용이 늘어나고 있다. 통상적으로 6개월 이상의 보존적 치료에 반응하지 않는 경우 사용할 수 있는 치료법으로 알려져 있다. 2. 수술적 치료 충분한 보존적 치료를 시행한 후에도 호전이 없는 경우에 한하여 수술적으로 족저근막을 늘려주는 방법을 고려해 볼 수 있다. 최근 관절경을 이용하여 족저근막 절개술을 시도하기도 한다. 수술적 치료의 성공률은 보고에 따라 70~90%로 알려져 있지만, 신경 손상 등의 합병증을 유발할 수 있으므로 신중한 선택을 요한다.

족저근막과 아킬레스건을 늘려주는 스트레칭 방법
경과/합병증
일반적으로 족저근막염은 특별한 치료 없이도 천천히 스스로 증상이 좋아지는 자한성(self-limiting) 질환으로 알려져 있다. 그러나 좋아지기까지 약 6~18개월 가량의 시간을 요하여 무작정 나아질 때까지 기다리기 어려운 점이 있다. 특별한 합병증이 알려져 있지는 않지만 족저근막염을 장기간 방치하면 일상 생활에까지 지장을 초래할 수 있고 보행에 영향을 주어 무릎, 고관절, 허리 등에도 이상을 초래할 수 있으므로 주의를 요한다.
예방방법
적절한 체중을 유지하고 무리한 운동을 피한다. 여성의 경우 하이힐은 가급적 피하는 것이 좋고 쿠션이 충분한 신발을 신는 것이 도움이 된다. 낡아서 충격 흡수가 잘 되지 않는 신발을 신고 조깅이나 마라톤 등을 하는 것은 절대적으로 피해야 한다. 증세가 오래될수록 보존적 치료의 성공 가능성이 낮아지는 것으로 알려져 있으므로, 의심되는 증상이 있으면 빠른 시일 내에 정형외과 진료를 통하여 정확한 진단을 받고 조기에 치료를 시작하는 것이 중요하다. 대개 6개월 이상 보존적인 치료를 해야 하며 90% 이상에서 좋은 결과를 얻을 수 있는 것으로 알려져 있으나, 점차적으로 서서히 회복되므로 환자나 의사 모두 참을성이 필요하다.
식이요법/생활가이드
족저근막염은 대체로 잘못된 운동 방법, 무리한 운동량, 불편한 신발 착용 등 발생원인이 생활습관에서 기인한 경우가 많고, 이를 교정하면 치료가 가능하다. 통증이 있는 경우에는 며칠간 발에 무리가 가지 않도록 쉬는 것이 중요하고, 얼음이나 차가운 물 수건 등을 이용한 냉찜질을 하는 것도 좋다.
관련질병
요족 변형, 편평족