타석증
[sialolithiasis]
침샘(타액선)이나 침샘관(타액선관)에 석회물질이 생겨 침이 침샘 밖으로 나가지 못해 생기는 질환
신체기관
침샘
만성이하선염, 쇼그렌증후군, 구강건조증
정의
타석증이란 침을 생산하는 기관인 침샘(타액선)이나 침샘으로부터 입안으로 연결된 부위(침샘관, 타액선관)에 석회물질(돌, 타석)이 생겨 침의 통로가 막혀서 생기는 질환이다. 침이 나오는 통로가 막히기 때문에 막힌 부위의 안쪽인 침샘 부위가 붓고 아픈 증상을 유발한다. 악하선(턱밑샘)에 80% 정도로 가장 많이 생긴다.
원인
정확한 원인은 밝혀지지 않았지만, 침의 정체, 침샘관 상피의 염증과 손상, 칼슘염의 침착을 유발하는 생물학적 요인 등이 원인으로 제기되고 있다.
증상
보통 음식을 먹기 시작할 때 침샘 부위(턱 밑(턱밑샘) 혹은 귀 앞(귀밑샘))가 부어 오른 후, 몇 분 혹은 몇 분이 지나면 대부분 저절로 가라앉는다. 간혹 심한 통증을 동반하기도 한다. 이런 증상이 오래 반복되다 보면 타석증이 동반된 침샘이 딱딱하게 만져지기도 한다. 세균 감염이 되면 침샘 주위로 염증이 파급되어 목이 심하게 붓기도 하는데, 당뇨병을 앓는 고령에서는 매우 위험할 수 있다.
진단/검사
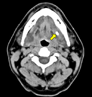
식후 동통 및 종창(부어오름)의 증상을 호소하는 경우, 우선 시진과 촉진을 시행한다. 턱밑샘 타석은 침샘관이 지나가는 구강저(혀와 잇몸 사이 부분)를 양손으로 촉진하면 만져진다. 반면 타액선 내 타석은 촉진으로 진단하기 어렵고, 경부 컴퓨터 단층촬영(목 부분의 CT)을 시행하여 뼈처럼 하얗게 보이는 타석이 있는지 관찰한다. 특히 귀밑샘 타석은 진단하기 매우 어려운데, 대부분 타석의 크기가 작고 촉진 상 뺨의 볼 조직에 묻혀 있으며 80%의 타석이 방사선 투과성을 가지기 때문이다. 이외에 구강 저 단순촬영, 타액선 조영술, 초음파 등도 진단에 이용될 수 있는 검사법이다. 1) 촉진: 한 손은 입 속에서, 다른 한 손은 목 밖에서, 손가락을 이용하여 침샘과 침샘관 부위를 만져보고 진단한다. 2) 경부 컴퓨터 단층촬영(CT): 침샘들을 중심으로 목 부위의 전산화 단층촬영(CT)을 시행하면 대부분 쉽게 타석증을 진단할 수 있어 일차 검사로 이용된다. 드물지만, CT에 나타나지 않는 타석도 있다. 3) 구강저 단순촬영: 턱밑샘의 타석을 진단하는 방법으로 단순 방사선촬영을 이용할 수 있는데, 최근에는 해부학적인 위치를 잘 관찰할 수 있는 CT 검사를 주로 이용한다. 4) 타액선관 조영술: 타액선관에 가느다란 관을 넣고 조영제를 주입하여 타액선관의 상태, 타석의 유무, 위치 등을 검사하는 방법이다. CT 검사에서 나타나지 않는 타석을 찾는 데 쓰일 수 있다. 5) 초음파 검사: 초음파는 타석을 투과하지 못하는 성질이 있으므로 침샘이나 침샘관 주위를 초음파로 관찰하면 타석을 진단할 수 있다.

타석증 CT

타석증에서 제거한 타석
치료
타석의 조기치료는 보존적 치료가 원칙으로, 구강을 청결히 하며 소독용 구강 가글액으로 가글을 자주 한다. 또한 수분 섭취를 많이 하고, 통증이 있을 때는 소염진통제를 복용한다. 타액분비촉진제의 사용, 국소열 치료, 타액선의 마사지, 그리고 과일이나 주스 등 신 음식을 많이 먹도록 한다. 침 분비가 증가하면서 타석이 밀려 저절로 빠져 나오는 경우가 있기 때문이다. 이차 감염에 의해 농(고름)이 배출되는 경우에는 항생제가 사용된다. 마지막으로 타석증이 저절로 호전되지 않으면 수술을 시행한다. 구강 저(혀와 잇몸 사이)에 잘 만져지는 타석은 구강내 접근으로 제거할 수 있다. 타석이 침샘관 시작점이나 침샘 내부에 위치할 때는 전신 마취를 하고 경부 절개를 통해 침샘 절제술을 시행하게 된다.
경과/합병증
타석의 크기가 작은 경우, 증상이 몇 차례 반복되다가 타석이 저절로 빠져 나와 증상이 해소되기도 한다. 저절로 빠져 나오지 않는 경우에도 증상이 몇 차례 반복되다가 타석의 위치에 따라 오랫동안 증상 없이 지내기도 하고, 갈수록 증상이 심해지기도 한다. 붓고 아픈 증상이 수 시간 지속되다가 저절로 좋아지기는 경우가 대부분이지만, 이차감염이 생기면 항생제 치료가 필요하다. 타석을 제거하지 않고 약물치료를 하면서 오랫동안 관찰할 경우 침샘 기능이 저하되면서 침샘이 퇴화하기도 한다.
예방방법
양치질을 잘 하고 구강 소독액으로 자주 가글하여, 입 안을 청결히 관리한다. 평소 수분 섭취를 많이 하는 것도 예방에 도움이 된다.
식이요법/생활가이드
구강을 청결히 하며 구강 소독액으로 가글한다. 수분 섭취를 많이 하고, 신 음식을 먹어 침 분비를 촉진한다.
관련질병
만성이하선염, 쇼그렌증후군, 구강건조증